education | February 27, 2026

What is a column of Bertin in the kidney?

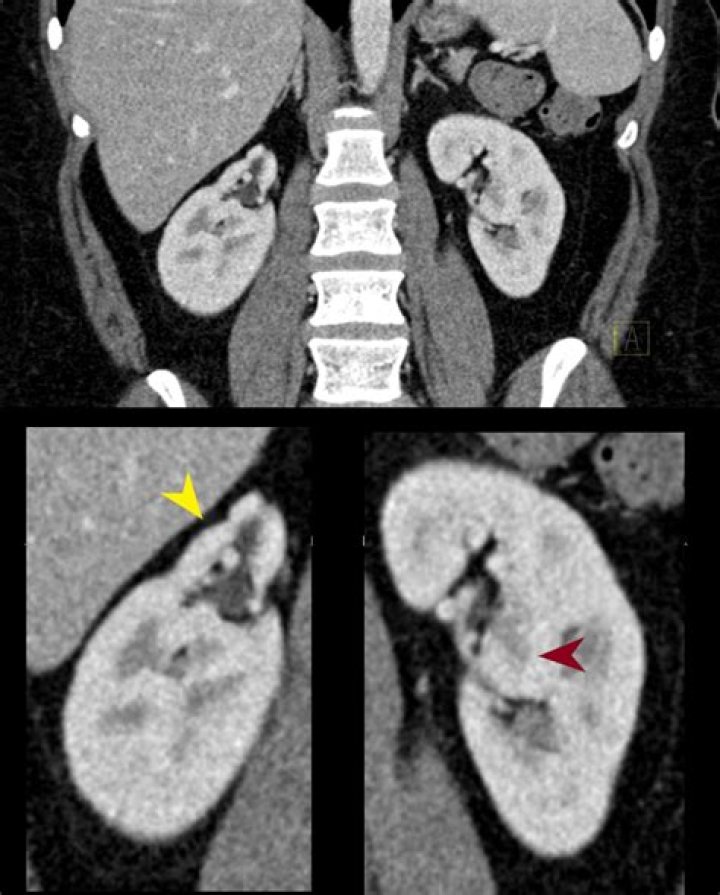
Columns of Bertin represent the extension of renal cortical tissue which separates the pyramids, and as such are normal structures. They become of radiographic importance when they are unusually enlarged and may be mistaken for a renal mass (renal pseudotumor).Click to see full answer. Similarly, it is asked, what causes hypertrophied column of Bertin?A hypertrophied column of Bertin is one of the congenital causes of renal pseudo tumor. The columns of Bertin are normal structures seen in the renal cortical tissue. Hypertrophied columns of Bertin are actually not hypertrophic but they occur due to an incomplete fusion of the fetal lobes.Beside above, what vessel is found within the renal column? Nephrons and Vessels The renal artery first divides into segmental arteries, followed by further branching to form interlobar arteries that pass through the renal columns to reach the cortex. The interlobar arteries, in turn, branch into arcuate arteries, cortical radiate arteries, and then into afferent arterioles. Then, what is Bertin? The renal column (or Bertin column, or column of Bertin) is a medullary extension of the renal cortex in between the renal pyramids. It allows the cortex to be better anchored. Each column consists of lines of blood vessels and urinary tubes and a fibrous material.Where are columns of Bertini located?Columns of Bertin are found in kidney. It is the extension of renal cortex in between the renal pyramid. It allows the better anchoring of renal cortex. It consists of lines of blood vessels and urinary tubes and a fibrous material.